箚記
病理
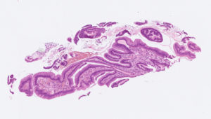
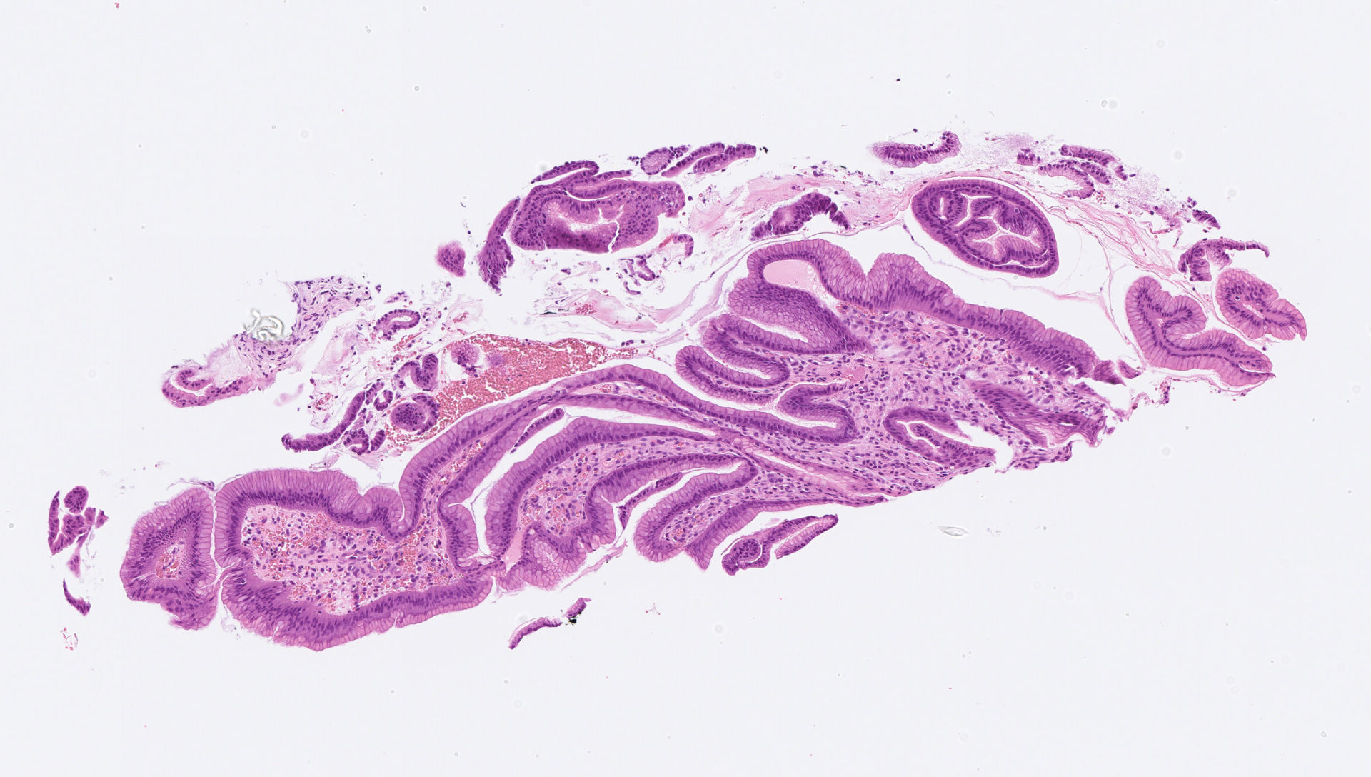
My stomach biopsy
あなたの診断は?
2019.04.23
2021.04.16
メニュー
箚記
病理
ホーム
検索
トップ
サイドバー